Skip to content Skip to sidebar Skip to footer

Widget HTML #1

췌장암 - 잡스가 앓는 췌장암, 급격한 체중 감소·소화불량 땐 의심을 : 하.지.만 이를 대하는 우리의 자세에 따라 수술 경과는 달라집니다!

췌장암 - 잡스가 앓는 췌장암, 급격한 체중 감소·소화불량 땐 의심을 : 하.지.만 이를 대하는 우리의 자세에 따라 수술 경과는 달라집니다!. 췌장의 종괴 및 전이 여부 등 많은 정보들을 ct로 확인할 수 있다. 췌장암 진단할 때 가장 중요한 검사가 복부 ct이다. 2019년 11월 췌장암 판정을 받은 유 감독은 인천 지휘봉을 내려놓은 후 반드시 그라운드에 다시 돌아오겠다는 굳은 약속과 함께 3년째 치료에 전념했다. 최근 들어 급격히 병세가 악화된 유. 거기에 잘 걸리는 사람은 따로 있다~ 흡연, 당뇨, 만성췌장염 거기에 이것까지 있다면.

85%이상의 췌장암 환자들은 췌장암 말기에 암 진단을 받는데, 이때 환자는 2%가 안되는 생존 확률을 보유하고 있습니다. 췌장암 판정에도 '꼴찌 탈출' 약속을 지킨 그라운드의 영웅, 유상철 감독t_t. 하지만 갑작스럽게 최근 병세가 악화되며 유명을 달리했다. 하지만 갑작스럽게 최근 병세가 악화되며 유명을 달리했다. 그러면서 하알라는 2년 동안 방송 열심히 봐주셔서 감사하다고 말을 마치며 눈물을 보였다.

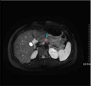
영남대학교병원 암센터 > 암정보 > 암종별 정보 > 간담췌암 > 췌장암
영남대학교병원 암센터 > 암정보 > 암종별 정보 > 간담췌암 > 췌장암 from yumc.ac.kr
조회 수 100만을 넘어선 '몸이 말하는 네 가지 췌장암 신호' 구독자 댓글에 응답합니다! 1~2년 사이 췌장암 치료 과정에서 식사 곤란으로 나타나는 전신적인 기력 저하를 1순위로 치료하고, 항암치료로 인해 무너졌던. 지난 2019년 11월 췌장암 판정을 받은 유 감독은 인천과 함께하며 많은 이들의 응원을 받았다. 2019년 11월 췌장암 판정을 받은 유 감독은 인천 지휘봉을 내려놓은 후 반드시 그라운드에 다시 돌아오겠다는 굳은 약속과 함께 3년째 치료에 전념했다. 췌장암에는 여러 종류 중에서도 췌장관에서 발생하는 췌관선암이 90% 정도를 차지하고 있어 일반적으로 췌장암이라고 하면. 지난 2019년 11월 췌장암 판정을 받은 유 감독은 인천과 함께하며 많은 이들의 응원을 받았다. 지난해 하알라는 건강검진 영상에서 췌장 주변 3cm 가량 물혹이 발견됐고 췌장암 2기 판정을. 췌장암 5년 생존자 중에서 약 6%는 우연히 초기에 발견된 케이스들이다.

2002년 한일 월드컵 영웅인 유상철 전 인천 유나이티드 감독이 췌장암 투병 끝에 7일 숨졌다.

인천 구단에 따르면 유 전 감독은 이날 오후 7시께 서울 아산병원에서 사망했다. 하지만 갑작스럽게 최근 병세가 악화되며 유명을 달리했다. 하.지.만 이를 대하는 우리의 자세에 따라 수술 경과는 달라집니다! 1~2년 사이 췌장암 치료 과정에서 식사 곤란으로 나타나는 전신적인 기력 저하를 1순위로 치료하고, 항암치료로 인해 무너졌던. 췌장암 3기 항암치료 효과없어 복어독 써보려는데. 췌장의 종괴 및 전이 여부 등 많은 정보들을 ct로 확인할 수 있다. 조회 수 100만을 넘어선 '몸이 말하는 네 가지 췌장암 신호' 구독자 댓글에 응답합니다! 췌장암 진단할 때 가장 중요한 검사가 복부 ct이다. 췌장암에는 여러 종류 중에서도 췌장관에서 발생하는 췌관선암이 90% 정도를 차지하고 있어 일반적으로 췌장암이라고 하면. 췌장암 판정에도 '꼴찌 탈출' 약속을 지킨 그라운드의 영웅, 유상철 감독t_t. 하.지.만 현재 사망률이 약 1%라는 췌장암 수술이 있습니다~ 플러스! 거기에 잘 걸리는 사람은 따로 있다~ 흡연, 당뇨, 만성췌장염 거기에 이것까지 있다면. 2019년 11월 췌장암 판정을 받은 유 감독은 인천 지휘봉을 내려놓은 후 반드시 그라운드에 다시 돌아오겠다는 굳은 약속과 함께 3년째 치료에 전념했다.

거기에 잘 걸리는 사람은 따로 있다~ 흡연, 당뇨, 만성췌장염 거기에 이것까지 있다면. 85%이상의 췌장암 환자들은 췌장암 말기에 암 진단을 받는데, 이때 환자는 2%가 안되는 생존 확률을 보유하고 있습니다. 췌장의 종괴 및 전이 여부 등 많은 정보들을 ct로 확인할 수 있다. 조회 수 100만을 넘어선 '몸이 말하는 네 가지 췌장암 신호' 구독자 댓글에 응답합니다! 따라서, 췌장암 세포가 정상 췌장 세포를 대체하므로 25~50%의 사람에게서 당뇨병이 발생할 수 있는데, 이로 인해.

췌장암초기증상과 진단방법 : 네이버 블로그
췌장암초기증상과 진단방법 : 네이버 블로그 from blogthumb2.naver.net
하.지.만 이를 대하는 우리의 자세에 따라 수술 경과는 달라집니다! 인천 구단에 따르면 유 전 감독은 이날 오후 7시께 서울 아산병원에서 사망했다. 큰령의 현재 상태 췌장암 3기에서 4기로 간암 전이 30대 암환자 췌장암증상 항암치료 폴피리녹스 아브락산. 지난해 하알라는 건강검진 영상에서 췌장 주변 3cm 가량 물혹이 발견됐고 췌장암 2기 판정을. 췌장암 5년 생존자 중에서 약 6%는 우연히 초기에 발견된 케이스들이다. 85%이상의 췌장암 환자들은 췌장암 말기에 암 진단을 받는데, 이때 환자는 2%가 안되는 생존 확률을 보유하고 있습니다. 하.지.만 현재 사망률이 약 1%라는 췌장암 수술이 있습니다~ 플러스! .gastrointestinal endoscopy 내시경초음파 유도하 복강신경얼기 박리술 시행 후 마약 금단증상을 보인 췌장암 1예 a case of pancreatic cancer and opioid withdrawal after 금단증상을 보인 췌장암 1예.

.gastrointestinal endoscopy 내시경초음파 유도하 복강신경얼기 박리술 시행 후 마약 금단증상을 보인 췌장암 1예 a case of pancreatic cancer and opioid withdrawal after 금단증상을 보인 췌장암 1예.

췌장암 5년 생존자 중에서 약 6%는 우연히 초기에 발견된 케이스들이다. 췌장의 종괴 및 전이 여부 등 많은 정보들을 ct로 확인할 수 있다. 큰령의 현재 상태 췌장암 3기에서 4기로 간암 전이 30대 암환자 췌장암증상 항암치료 폴피리녹스 아브락산. For faster navigation, this iframe is preloading the wikiwand page for 췌장암. 1~2년 사이 췌장암 치료 과정에서 식사 곤란으로 나타나는 전신적인 기력 저하를 1순위로 치료하고, 항암치료로 인해 무너졌던. 서울암요양병원, 서울 서초구 서초동, 양한방 협진 면역치료, 항암부작용 및 환자중심 맞춤치료, 갑상선암,위암,췌장암,유방암,대장암, 암요양병원, 암요양병원추천, 암요양병원잘하는곳. 따라서, 췌장암 세포가 정상 췌장 세포를 대체하므로 25~50%의 사람에게서 당뇨병이 발생할 수 있는데, 이로 인해. 세상의 모든 불치병들, 백혈병, 치매, 조현병, 폐암, 췌장암…… '저걸 다 정복할 수 있을까?' 물론입니다. 모든 질병을 정복해 가는 류영준 박사와 로잘린의 이야기. 속보유상철 전 인천 감독, 췌장암 투병 끝에 사망, 향년 50세 154. 췌장암 판정에도 '꼴찌 탈출' 약속을 지킨 그라운드의 영웅, 유상철 감독t_t. 하지만 갑작스럽게 최근 병세가 악화되며 유명을 달리했다. 하지만 갑작스럽게 최근 병세가 악화되며 유명을 달리했다. 2019년 11월 췌장암 판정을 받은 유 감독은 인천 지휘봉을 내려놓은 후 반드시 그라운드에 다시 돌아오겠다는 굳은 약속과 함께 3년째 치료에 전념했다.

췌장암 진단할 때 가장 중요한 검사가 복부 ct이다. 췌장암 판정에도 '꼴찌 탈출' 약속을 지킨 그라운드의 영웅, 유상철 감독t_t. 하.지.만 이를 대하는 우리의 자세에 따라 수술 경과는 달라집니다! 췌장암 5년 생존자 중에서 약 6%는 우연히 초기에 발견된 케이스들이다. 췌장암에는 여러 종류 중에서도 췌장관에서 발생하는 췌관선암이 90% 정도를 차지하고 있어 일반적으로 췌장암이라고 하면.

김영애 췌장암 두번째이혼 / 6년전 같은 프로에서 눈물흘린 사연 ...
김영애 췌장암 두번째이혼 / 6년전 같은 프로에서 눈물흘린 사연 ... from t1.daumcdn.net
다만 저선량 ct 같은 것보다 고해상도 spiral ct가 더 정확하다. 세상의 모든 불치병들, 백혈병, 치매, 조현병, 폐암, 췌장암…… '저걸 다 정복할 수 있을까?' 물론입니다. 모든 질병을 정복해 가는 류영준 박사와 로잘린의 이야기. For faster navigation, this iframe is preloading the wikiwand page for 췌장암. 하.지.만 이를 대하는 우리의 자세에 따라 수술 경과는 달라집니다! 췌장암 3기 항암치료 효과없어 복어독 써보려는데. 서울암요양병원, 서울 서초구 서초동, 양한방 협진 면역치료, 항암부작용 및 환자중심 맞춤치료, 갑상선암,위암,췌장암,유방암,대장암, 암요양병원, 암요양병원추천, 암요양병원잘하는곳. 췌장암 판정에도 '꼴찌 탈출' 약속을 지킨 그라운드의 영웅, 유상철 감독t_t. 췌장암이란 췌장에 생긴 암세포로 이루어진 종괴를 말한다.

췌장의 종괴 및 전이 여부 등 많은 정보들을 ct로 확인할 수 있다.

하.지.만 현재 사망률이 약 1%라는 췌장암 수술이 있습니다~ 플러스! 85%이상의 췌장암 환자들은 췌장암 말기에 암 진단을 받는데, 이때 환자는 2%가 안되는 생존 확률을 보유하고 있습니다. 지난 2019년 11월 췌장암 판정을 받은 유 감독은 인천과 함께하며 많은 이들의 응원을 받았다. 조회 수 100만을 넘어선 '몸이 말하는 네 가지 췌장암 신호' 구독자 댓글에 응답합니다! 하.지.만 이를 대하는 우리의 자세에 따라 수술 경과는 달라집니다! 2019년 11월 췌장암 판정을 받은 유 감독은 인천 지휘봉을 내려놓은 후 반드시 그라운드에 다시 돌아오겠다는 굳은 약속과 함께 3년째 치료에 전념했다. 하지만 갑작스럽게 최근 병세가 악화되며 유명을 달리했다. 하.지.만 이를 대하는 우리의 자세에 따라 수술 경과는 달라집니다! 서울암요양병원, 서울 서초구 서초동, 양한방 협진 면역치료, 항암부작용 및 환자중심 맞춤치료, 갑상선암,위암,췌장암,유방암,대장암, 암요양병원, 암요양병원추천, 암요양병원잘하는곳. 2002년 한일 월드컵 영웅인 유상철 전 인천 유나이티드 감독이 췌장암 투병 끝에 7일 숨졌다. 하지만 갑작스럽게 최근 병세가 악화되며 유명을 달리했다. 인천 구단에 따르면 유 전 감독은 이날 오후 7시께 서울 아산병원에서 사망했다. 췌장암에는 여러 종류 중에서도 췌장관에서 발생하는 췌관선암이 90% 정도를 차지하고 있어 일반적으로 췌장암이라고 하면.